万类生物官网首页
请登录
免费注册
退出
我的订单
待支付
待发货
待收货
待评价
我的万类
我的积分
我的优惠券
购物车
0
购买规则
购买流程
会员须知
退换规则
配送政策
手机版
APP下载
生物狗小程序
搜索
超敏ECL
BCA
全蛋白提取
SDS-PAGE
Tunel
Annexin V
服务热线:400-602-0407
万类产品中心
一抗
二抗
蛋白检测
核酸检测
蛋白-核酸互作
细胞培养与检测
病理学检测
常见生化检测
基础试剂
自噬双标腺病毒
质粒菌株库
商城首页
免费试用
促销活动
技术支持
订购方式
全部
一抗
自营商品
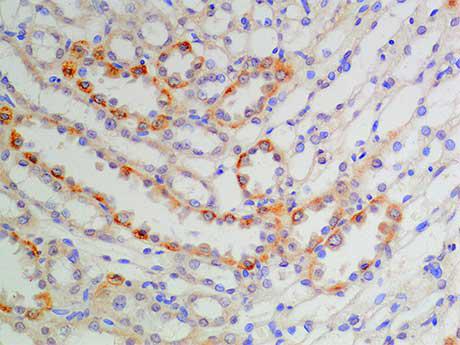
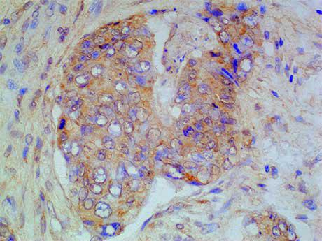
DMT1
下载App注册新用户送500积分
扫描下载App
价格
¥
1200.00
应用
WB
IHC
IF
特异性
人
大鼠
小鼠
规格
50μl
WL05401
100μl
WL05401
20μl
试用装
折扣
用券7折 券后 ¥
840.00
库存:现货
东三省运费30元,其他地区运费50,支付满600元包邮
加入购物车
加入购物车
商品已成功加入购物车
查看购物车
关闭弹窗
好评率
100%
产品介绍
规格参数
包装售后
商品评价(18)
文献(2)
相关产品
使用报告(10)
好评率
100%
有图 3
送货超快 12
产品质量好 14
售后服务好 8
产品类别多 7
客服态度好 6
包装精美 8
专业必备 8
全部(18)
好评(18)
中评(0)
差评(0)
哈!
2024-12-25
一抗很棒,特异性强,条带清晰准确,对结果很满意
规格:
20μl
应用实验:
WB
样本类型:
组织
样本种属:
小鼠
样本具体名称:
肝脏
无名
2024-12-01
稀释比例低,条带清晰,没有杂带,背景清晰,曝光时间短。
规格:
20μl
应用实验:
WB
样本类型:
细胞
样本种属:
小鼠
样本具体名称:
小鼠肾小管上皮细胞
做科研的小可怜儿
2024-11-09
送货速度超快,周日下单,周一发货,周二上午就收到了,收到时冰袋还是硬邦邦的。
规格:
20μl
应用实验:
WB
样本类型:
细胞
样本种属:
大鼠
样本具体名称:
BMSCs