
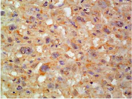
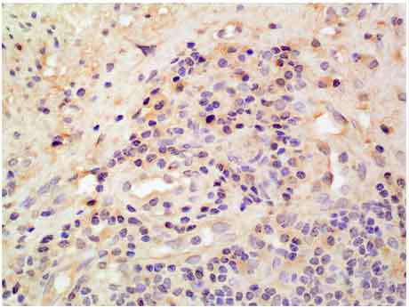
The Silent Information Regulator (SIR2) family of genes is a highly conserved group of genes that encode nicotinamide adenine dinucleotide (NAD)-dependent protein deacetylases, also known as Class III histone deacetylases. SirT3, a mammalian homolog of Sir2, exists in human cells in two forms. Full-length SirT3 protein is processed in the mitochondrial matrix by the mitochondrial matrix processing peptidase (MMP). Both full-length and processed forms of SirT3 are enzymatically active and de-acetylate histone H3 at Lys9 and histone H4 at Lys16 in vitro. SirT3 also de-acetylates Lys642 of acetyl-CoA synthetase 2 (AceCS2) and activates AceCS2 activity in the mitochondria.