
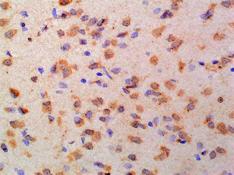
PHOX2B DNA-associated is a member of the paired family of homeobox proteins localized to the nucleus.PHOX2B localizes in the nucleus and is expressed in neuroblastoma, brain and adrenal gland. The gene product is linked to enhancement of second messenger-mediated activation of the dopamine beta-hydroylase, c-fos promoters and several enhancers, including cyclic amp-response element and serum-response element.