好评率
100%

产品概述

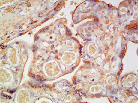
NOX2,is a critical component of the membrane-bound oxidase of phagocytes that generates superoxide. It is the terminal component of a respiratory chain that transfers single electrons from cytoplasmic NADPH across the plasma membrane to molecular oxygen on the exterior.


0
产品咨询微信

服务热线

400-602-0407

APP下载
生物狗小程序