
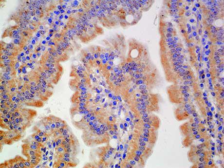
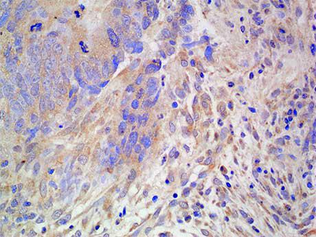
Wnt-induced secreted protein (WISP)-1, WISP-2 and WISP-3 are members of the CCN family of growth factors, which include connective tissue growth factor (CTGF) and Cyr61. Both WISP-1 and WISP-2 are upregulated in cells transformed with the protooncogene Wnt-1, and they are also more highly expressed in human colon tumors, suggesting that these proteins may participate in tumor development. WISP-3 is involved in normal postnatal skeletal growth, and it is also implicated in the development of the autosomal recessive skeletal disorder progressive pseudorheumatoid dysplasia, which affects cartilage homeostasis by disrupting the growth of chondrocyte and normal cell columnar organization.