
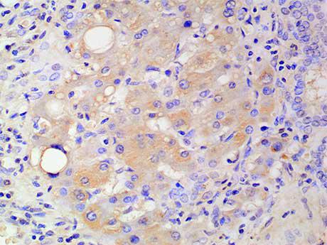
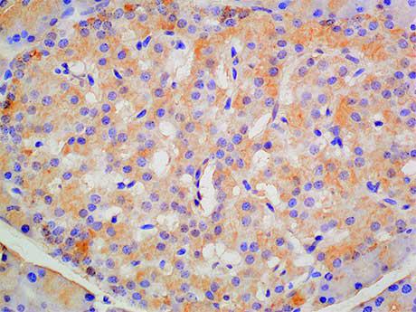
Acetyl CoA carboxylase (ACC) is a complex multifunctional enzyme system. ACC is an enzyme containing biotin that catalyzes the carboxylation of acetyl CoA to acetyl CoA, which is a rate limiting step in fatty acid synthesis. There are two forms of ACC, Alpha and Beta, encoded by two different genes. ACC - α is highly enriched in adipose tissue. This enzyme has long-term control at the transcription and translation levels, and short-term regulation through targeted phosphorylation/dephosphorylation of serine residues and conformational transformation via citrate or palmitic acid COA. ACC1 is highly enriched in adipose tissue (liver and fat), while ACC2 is mainly expressed in oxidized tissue (heart, skeletal muscle, and liver).