
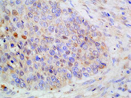
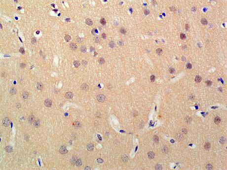
Sox15, Also known as Sox12 or Sox20. Sox15 is widely expressed in fetal and adult tissues, with the highest levels found in the fetal spinal cord, adult brain, and testes. Sox15 is a candidate tumor inhibitor in pancreatic cancer and has a potential role in Wnt/β - catenin signal transduction. Sox15 is necessary for skeletal muscle regeneration and is regulated in embryonic mouse testes. Sox15 may be a transcription factor that binds to DNA on the 5 '- acaatg-3' shared sequence, or it may bind to the FOXK1 promoter and recruit FHL3, leading to transcriptional activation of FOXK1 and resulting in muscle cell proliferation.