好评率
100%

产品概述

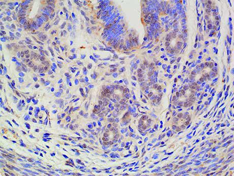
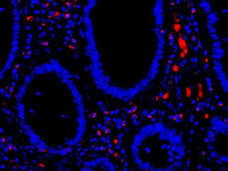
The Forkhead family of transcription factors is involved in tumorigenesis of rhabdomyosarcoma and acute leukemias. Within the family, three members (FoxO1, FoxO4, and FoxO3a) have sequence similarity to the nematode orthologue DAF-16.FKHR and FKHRL1 (also designated FOXO3A) are functional genes. FKHRL1 maintains neutrophil vitality during inflammation by suppressing FAS ligand. Increased expression of any FoxO member results in the activation of the cell cycle inhibitor p27 Kip1. Forkhead transcription factors also play a part in TGF-β-mediated upregulation of p21 Cip1, a process negatively regulated through PI3K.


0
产品咨询微信

服务热线

400-602-0407

APP下载
生物狗小程序