
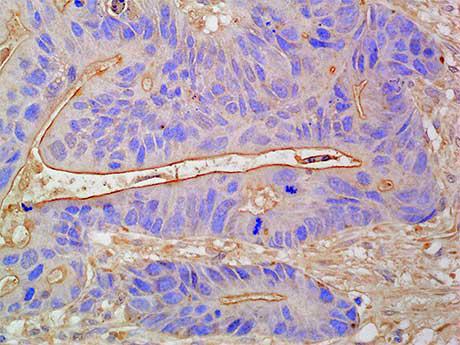
Carcinoembryonic antigen (CEA), also known as CEACAM5 or CD66e, belongs to the immunoglobulin superfamily and is a key cell surface glycoprotein molecule. Its core function is to precisely regulate the adhesion process between cells through specific binding mechanisms of homophily (between molecules of the same species) and heterophily (between molecules of different species). As a typical representative of cell surface glycoproteins, CEA plays an irreplaceable regulatory role in key processes such as cell adhesion, intracellular signaling, and tumor progression. CEA has the ability to inhibit anoikis. A large amount of clinical evidence has confirmed that CEA is generally overexpressed in colorectal cancer, breast cancer, lung cancer and other human malignant tumors, so it has become a widely used tumor diagnostic biomarker in clinical practice.