
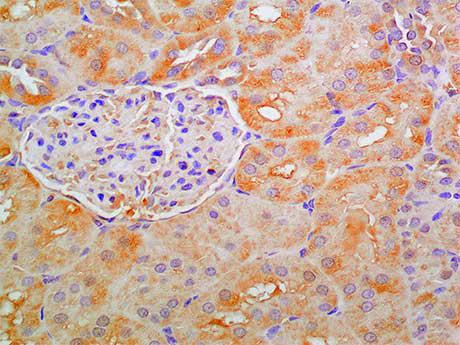
Growth differentiation factor 15 (GDF15), also known as macrophage inhibitory cytokine 1 (MIC-1), is an important member of the transforming growth factor beta (TGF - β) superfamily, which precisely regulates inflammation and apoptosis pathways in tissue damage and disease progression. As a stress-induced cytokine, the expression of GDF15 is closely related to hypoxia, inflammation, and oxidative stress, and can be released in large quantities from endothelial cells under the stimulation of pro-inflammatory cytokines. GDF15 plays a significant cardioprotective role in the adult heart and is therefore considered a key therapeutic target and biomarker for cardiovascular disease. GDF15 is highly expressed in the placenta and is an important regulatory factor for human embryonic development, which is crucial for maintaining normal pregnancy. In addition, adipocytes also produce GDF15 in oxidative stress response, which is one of the core pathogenic factors of preeclampsia.